Invisalign

The clear alternative to braces

At Oban Dental and Implant Centre, we work with the most advanced clear aligner system in the world - Invisalign. With the most advanced brace technology out there, our teeth straightening procedure is quick, pain-free and discreet.
Watch the Video

How It Works

Invisalign aligners are a very popular choice as they are nearly invisible, comfortable to wear and removable.

A series of Invisalign aligners are custom-made for you, to move your teeth in the sequence determined by your dentist. Each aligner shifts your teeth slightly, moving them horizontally and vertically and even rotating them when needed. Only Invisalign clear aligners are made of proprietary, multilayer SmartTrack® material to gently shift your teeth into place.
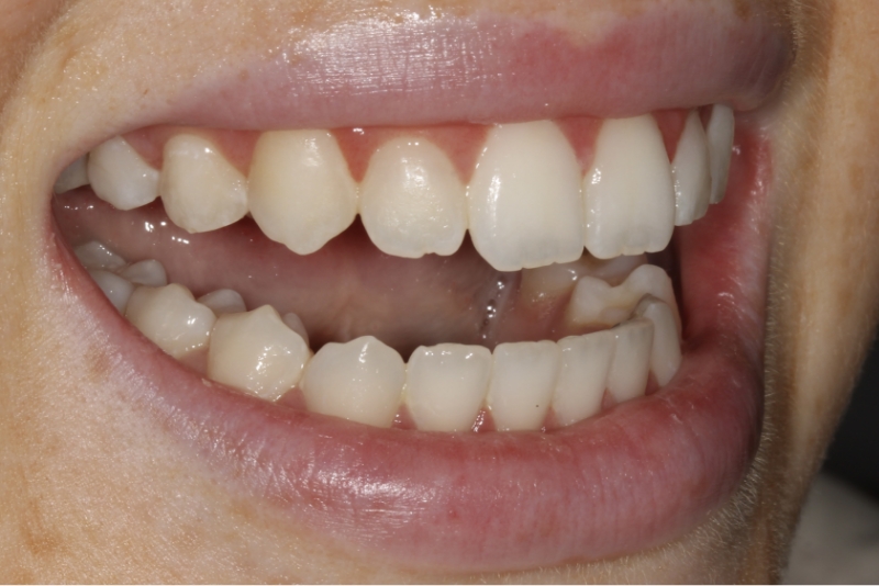
Before
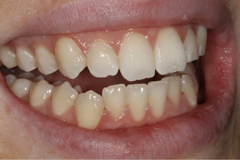
after
Before
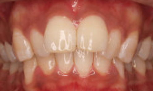
after

Invisalign FAQs

If you’re unhappy with the appearance of your teeth, you may be able to benefit from teeth alignment. Our teeth alignment services can dramatically improve the attractiveness of your smile along with your confidence, making you want to smile more.

It can also be much faster. Traditional braces can take up to two years to have the desired effect on straightening your teeth, whereas our treatments can take as little as six to sixteen weeks to give you your perfect smile.
Teeth alignment can help you if you have noticeably crooked, crowded or protruding teeth and it can also help reduce the appearance of gaps in the teeth.
The length of treatment varies from patient to patient but generally teeth results can be achieved between six to sixteen weeks.
You will need to wear your retainers following your treatment to maintain the position of the teeth and to avoid the risk of the teeth moving back to their original position. Your teeth should stay straight permanently if you do this. However, it is important to continue seeing your dentist to make sure that they do not start to shift again.
Following our teeth straightening consultations, we will be able to give you an accurate costing. Invisalign treatment starts from £1500.

If you have any specific questions about Invisalign please book an initial consultation online or call us on 01631 563 006.

Book Invisalign

Address

Oban Dental and Implant Centre
Cawdor Place
Shore Street
Oban, PA34 4LQ
2025 Copyright Oban Dental & Implant Centre
Site by Azim.Design
envelopephone-handsetchevron-down